Researchers have reported the successful use of a 7-tesla MRI technique that identifies microscopic differences in patients' brains that cause drug-resistant epilepsy, or "focal epilepsy."
The technique -- called "parallel transit" -- allowed doctors at Addenbrooke's Hospital in Cambridge, U.K., to overcome the problem of signal "dropouts" in the brain on 7-tesla MRI and thus to offer curative surgery to epilepsy patients, according to a team led by Krzysztof Klodowski, PhD, of the University of Cambridge in the U.K. The group's results were published March 20 in Epilepsia.
"Because of the physics of 7-tesla MRI, images are susceptible to dark patches -- signal dropouts in areas where the transmit B1 + field [a particular radiofrequency magnetic field] is weak," the authors explained. "These dropouts commonly occur in the temporal lobes, which are regions of particular interest for epileptogenic lesion detection, as well as the cerebellum. Parallel transmit … MRI can substantially mitigate these dropouts, improving the uniformity of 7-tesla MRI images to achieve diagnostic quality throughout the whole brain."
People with focal epilepsy experience persistent seizures despite medication, and the only treatment to cure the condition is surgery, the team explained. To perform the procedure, surgeons need to be able to see the lesions responsible for the seizures; the lesions are identified on MR imaging, but research has suggested that 3-tesla MRI may not be adequate for this purpose.
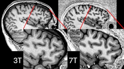
Comparison showing 3-tesla and 7-tesla scans for the same participant. Image courtesy of P Simon Jones, PhD, of the University of Cambridge.
Ultrahigh field 7-tesla MRI brain scans offer more detailed resolution and can help detect lesions in patients with drug-resistant epilepsy better than 3-tesla MRI devices, according to the group. But even though 7-tesla MRI has benefits over 3-tesla, it can still be limited by the signal dropouts. Klodowski and colleagues and a team from the Université Paris-Saclay in France tested the parallel transmit technique, which uses eight transmitters around the brain rather than just one to avoid these dropouts.
"By using multiple radio transmitters positioned around the patient's head -- like having a Wi-Fi mesh around your home -- we can get much clearer images with fewer blackspots," explained study co-author Chris Rodgers, PhD.
The investigators tested the technique via a study that included 31 drug-resistant epilepsy patients, all of whom underwent both 3-tesla and 7-tesla MR imaging. The authors reported the following:
- The parallel transmit 7-tesla scanner identified previously unseen structural lesions in nine patients and confirmed suspected lesions detected using 3-tesla scanners in four patients. It also showed in an additional four patients that suspected lesions could be disregarded.
- Parallel transmit 7-tesla images were clearer than conventional, "single transmit" 7-tesla images in 57% of the cases. Single-transmit scanners never outperformed parallel-transmit scanners.
- As the result of the study findings, more than half of the patients (18, or 58%) had the management of their epilepsy changed, with nine patients being offered surgery to remove the lesion; one patient being offered laser interstitial thermal therapy; three patients being diagnosed with more complex lesions that meant surgery was no longer an option; and five patients being offered stereotactic electroencephalography, a technique that finds lesions using electrodes inserted into the brain.
"Having epilepsy that doesn't respond to anti-seizure medications can have a huge impact on patients' lives, often affecting their independence and their ability to maintain a job," said study senior author Thomas Cope, MD, of Cambridge University Hospitals NHS Foundation Trust in the U.K., in a statement released by the university. "We know we can cure many of these patients, but that requires us to be able to pinpoint exactly where in the brain is the root of their seizures."
The complete study can be found here.


















