Ultralow-dose CT images "denoised" by an AI algorithm can effectively diagnose pneumonia in patients with weakened immune systems -- and at only 2% of the radiation dose of standard CT, researchers have found.
The findings are good news for patients when it comes to radiation exposure, wrote a team led by Maximiliano Klug, MD, of Sheba Medical Center in Ramat Gan, Israel. The study results were published March 13 in Radiology: Cardiothoracic Imaging.
"This pilot study identified infection with a fraction of the radiation dose," Klug said in a statement released by the RSNA. "This approach could drive larger studies and ultimately reshape clinical guidelines, making denoised ultralow-dose CT the new standard for young immunocompromised patients."
Early diagnosis of lung infections in patients with weakened immune systems is crucial, but the risks of cumulative radiation dose exposure from frequent CT scans are of concern, Klug and colleagues noted. Using ultralow-dose CT reduces radiation exposure, but can also lead to poor image quality due to added "noise" -- that is, a grainy texture throughout the image -- which can then affect diagnostic accuracy.
Klug's team tested the denoising capabilities of a deep-learning algorithm on ultralow-dose CT scans via a study that included 54 immunocompromised patients with fevers who underwent two chest CT exams between September 2020 and December 2022: a normal dose scan and an ultralow-dose scan. The group applied an AI model to denoise all 54 of the ultralow-dose CT images. Radiologists blinded to all patient clinical information assessed and documented findings from the normal-dose CT, ultralow-dose CT, and denoised ultralow-dose CT scans.
The investigators reported the following:
- The deep-learning algorithm significantly improved the image quality and clarity of the ultralow-dose CT scans and reduced false positives.
- Nodules were also more easily identified on the denoised scans.
- The average effective radiation dose for ultralow-dose scans was 2% of the average effective radiation dose of the standard CT scans.
| Image noise assessment results across 3 types of CT images | |||
|---|---|---|---|
| Measure | Normal-dose CT | Ultralow-dose CT | AI-based denoised ultralow-dose CT |
| Mean Hounsfield unit | 10.1 | 37.1 | 30 |
| Signal-to-noise ratio | 115.64 | 31.2 | 39.1 |
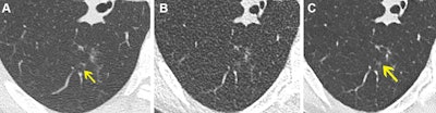
Axial noncontrast chest CT lung window images in a 61-year-old female participant. (A) Normal-dose CT, (B) ultralow-dose CT (ULDCT), and (C) denoised ULDCT show focal ground-glass opacity (yellow arrow). Ground-glass opacity was correctly identified with both normal-dose CT and denoised ULDCT, but it was missed by both readers at ULDCT due to decreased signal-to-noise ratio. Images and caption courtesy of the RSNA.
"[Our] study paves the way for safer, AI-driven imaging that reduces radiation exposure while preserving diagnostic accuracy," Klug said.
The complete study can be found here.




















